3D Рентген Хасково

Най-модерният и иновативен 3Д рентген

в южна България с много ниски дози на облъчване

Услуги

3D Рентген Хасково предлага следните услуги:


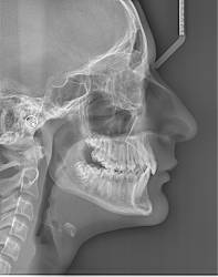
Телерентгенография (Цефалометрия)

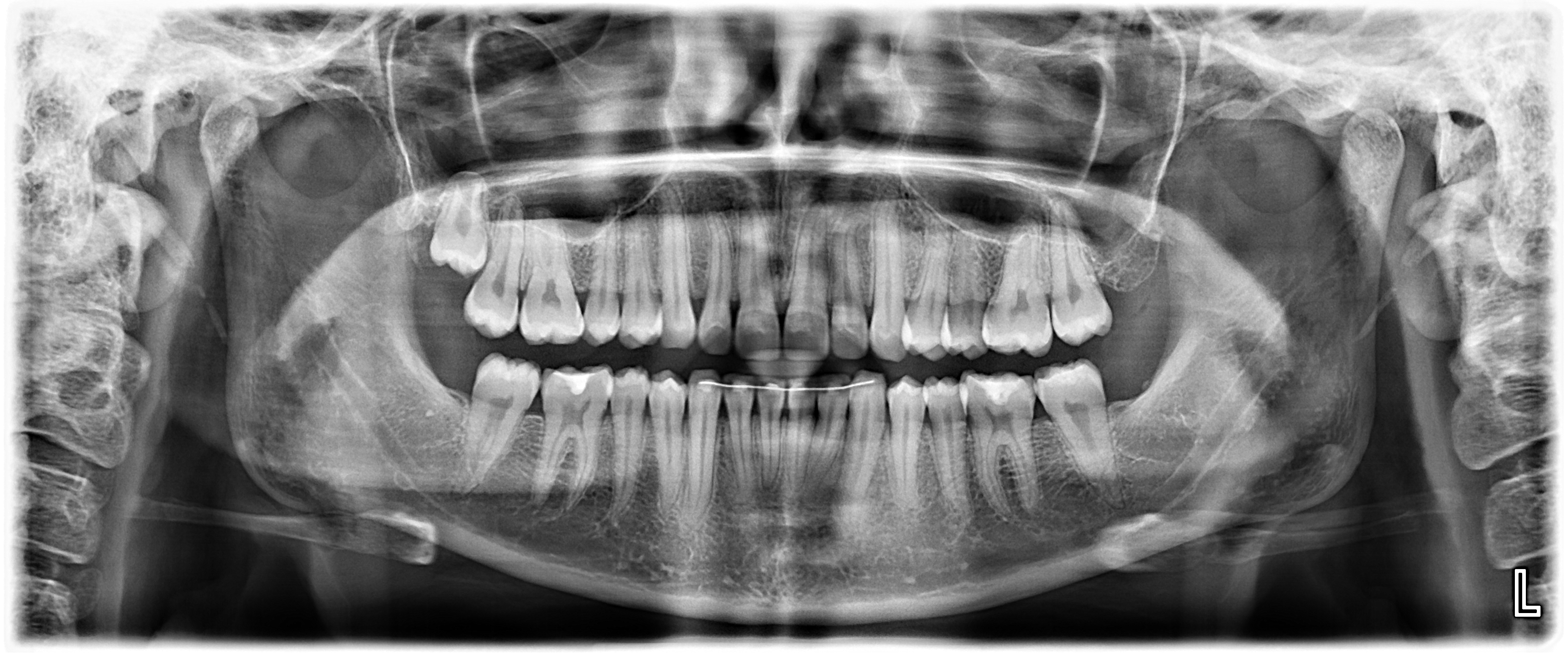
Панорамни снимки (Ортопантомография)

-Half Pan Right
-Half Pan Left

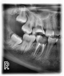
ТМС

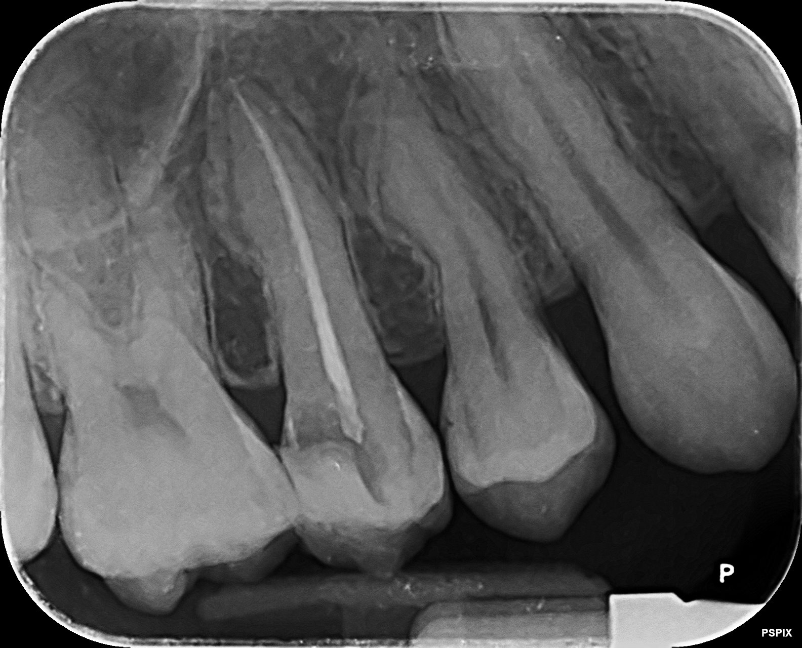
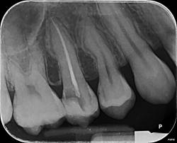
Сегментни зъбни снимки

3D Образна диагностика

-квадрант
-мандибула
-максила
-цял череп
-ендодонтска томография

Специфични снимки

-Bitewing ( кариес диагностика )
-Simpson
-Парадонтален статус
-Телерентгенография с ортодонтски анализ
-Рентгенография на китка
-Максиларни синуси
-Фронтален синус
-Въздухоносни пътища
-Средно ухо
-Шийни прешлени
-Темпорална кост
-Череп 2D
-Лицеви кости
-Sella turcica
-Сканиране на гипсови модели
-Сканиране на отпечатъци

Контакти


3D CBCT РЕНТГЕН – КОМПЮТЪРЕН ТОМОГРАФ

  • Хасково,
  • ул.Македония 11 ет.3 каб.21
  • Сградата на лекарските кабинети,вход откъм бул.Освобождение (срещу закусвалня Македония)

Работно Време

  • Понеделник - Петък: 09:00 – 18:00
  • Събота: С предварителна уговорка
  • Неделя: Почивен ден

Връзка с нас

Форма за обратна връзка

Моля, попълнете всички полета и проверете кодът за сигурност.
Можете да използвате бутонът за да заредите нов код.
Благодарим Ви! Съобщението е изпратено.

ЗА НАС

Ние предлагаме най-доброто качество на изображението с оптимална доза (приблизително 10 пъти по-ниска от стандартната компютърна-томография заради генератор с константни потенциали, максимално намаляващ излишните лъчения)!Апарат от последно поколение в образната диагностика.Педиатрична програма автоматично стесняваща облъчваната площ и намаляваща погълнатата доза до 35%


Planmeca PROMAX 3D е подходящ за множество диагностични изисквания: тези на ендодонтията, пародонта, ортодонтия, имплантология, лицево-челюстната хирургия и анализ на Темперомандибуларна става. Системата има софтуер и технология за изследване на синуси, средно ухо, череп, челюсти.

Рентгенов апарат на Planmeca ProMax® 3D отговаря на множество диагностични изисквания и осигурява обемни размери за всяко клинично приложение.

Planmeca ProMax 3D изображения с размер на средния обем:

Стойности на обема
Ø200 x 170 мм
Ø200 x 170 мм
Ø200 x 100 мм
Ø200 x 60 мм
Ø160 x 170 мм
Ø160 x 160 мм
Ø160 x 100 мм
Ø100 x 100 мм
Ø100 x 60 мм
Ø80 x 80 мм
Ø80 x 50 мм
Ø40 x 80 мм
Ø40 x 50 мм

Предимството на този метод е, че при изследването на синуси и челюсти, наличните метални коронки, мостове и импланти не влошават качеството на получените изображения.

Получените резултати автоматично се визуализират в 3D режим с висока резолюция. Самото изследване протича много по-лесно за пациента в сравнение със стандартните КТ изследвания, защото пациентът не ляга на маса и не влиза в пръстен, а е в седнало или изправено положение, каторамото на апарата се върти около главата на пациента. Това е много важно за пациенти с клаустрофобия.

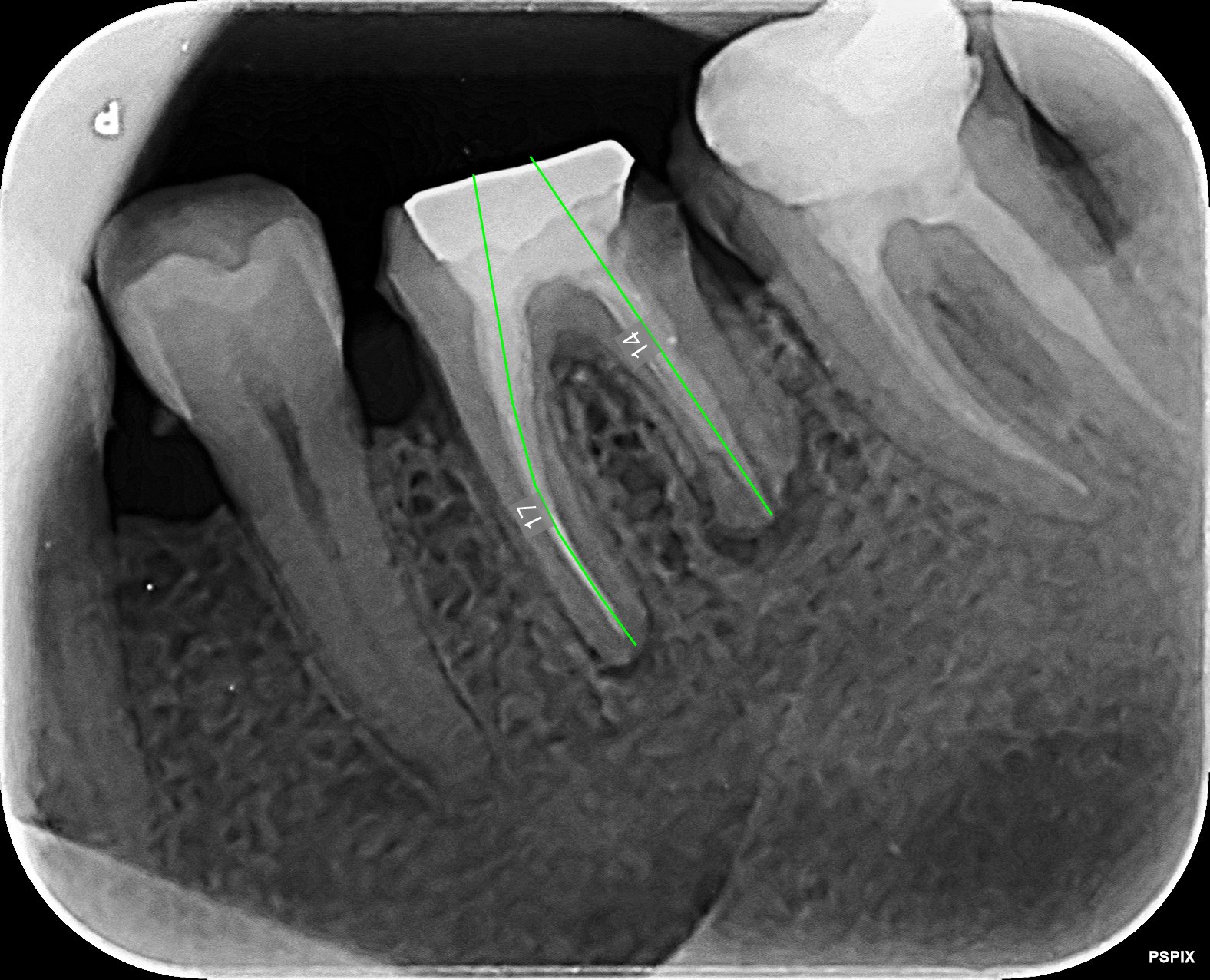
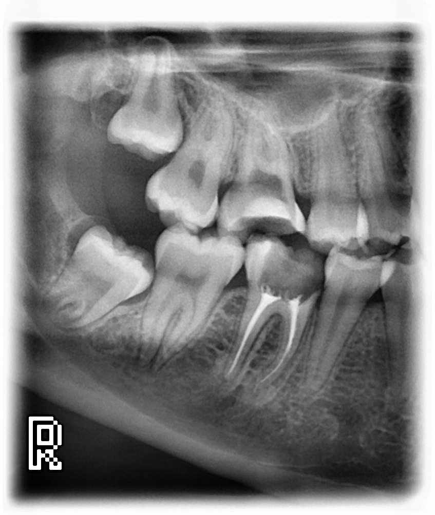
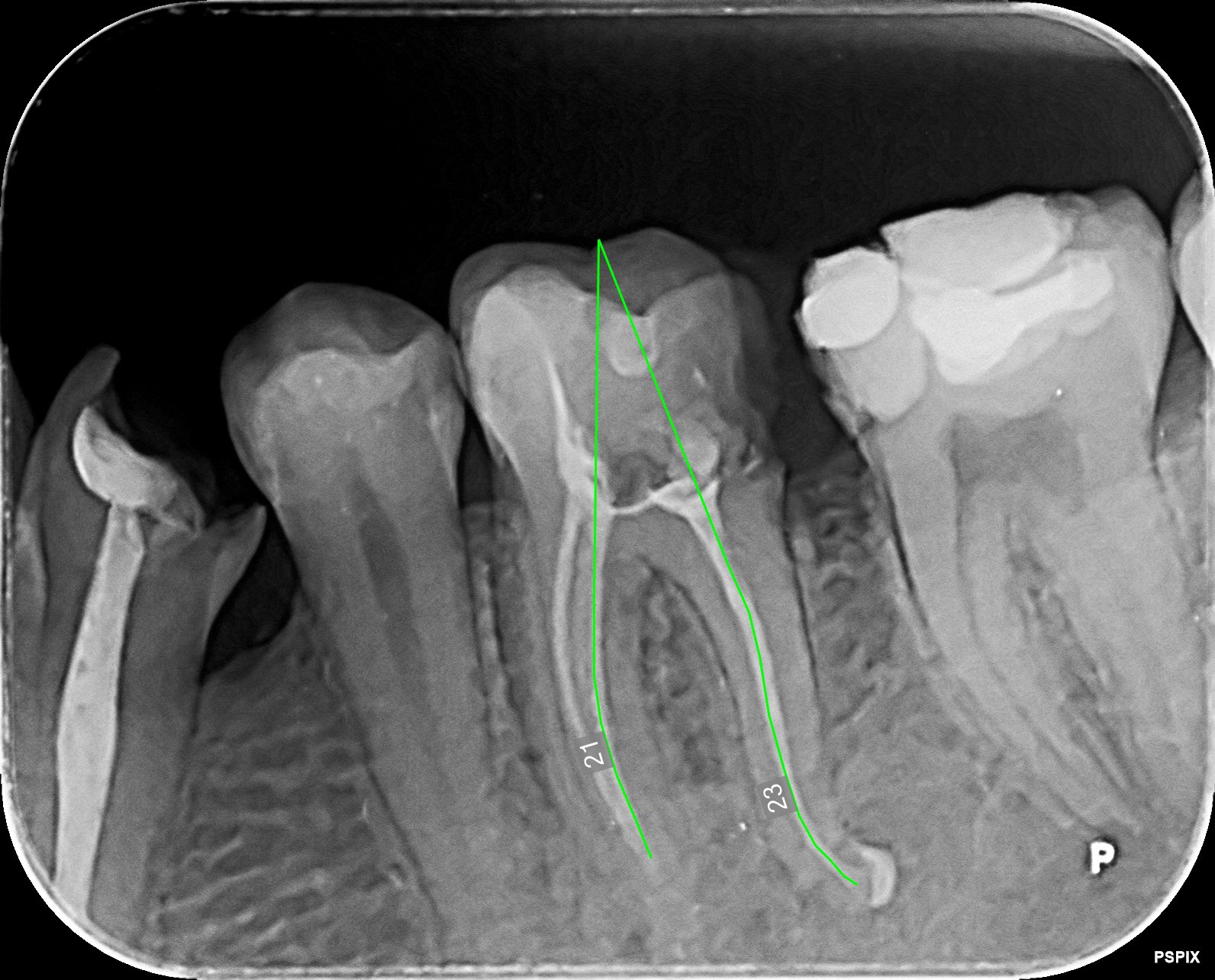
Пациентски случаи